Acute Promyelocytic Leukemia
Ryan Alcantara, MD
PGY-4 Resident Physician, University of Washington, Department of Emergency Medicine
Rob Klemisch, MD
Editing/assistance
Acute promyelocytic leukemia (APL) is a subtype of acute myeloid leukemia (AML) characterized by the accumulation of abnormal promyelocytes in the bone marrow and blood. APL accounts for 5-15% of all AML cases, with an estimated 600-800 new cases per year in the United States. The disease primarily affects young to middle-aged adults.
The unique pattern of this disease is characterized by high early mortality but excellent long-term prognosis for those who survive. As such, understanding the pathophysiology, diagnosis and treatment of APL and its complications is imperative for the critical care physician.
APL is an oncologic emergency due to its potential for severe bleeding complications and rapid progression to multi-organ failure if not promptly diagnosed and treated. Patients often develop life-threatening problems early in the course of the disease, leading to a phenomenon of "early deaths" within the first month of presentation. Studies suggest that up to 30% of patients die from complications soon after diagnosis. However, if patients can avoid these early deaths, APL is highly curable, with 5-year overall survival rates exceeding 90%. The major barrier to long-term survival in APL lies in keeping patients alive during the initial disease course.
Pathogenesis
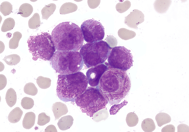
The hallmark of APL is the accumulation of abnormal promyelocytes in the bone marrow and blood. This is driven by a specific chromosomal translocation, t(15;17), which generates the PML-RARA fusion gene.
The PML-RARA fusion protein blocks the normal differentiation of promyelocytes, leading to their uncontrolled proliferation. Normally, the PML and RARA proteins play important roles in regulating cell growth and differentiation. However, the fusion of these two proteins disrupts their normal functions, allowing the malignant promyelocytes to become immortalized and proliferate excessively.
These malignant promyelocytes express surface proteins that contribute to a complex coagulopathy.
- Tissue Factor (TF) - TF forms a complex with Factor VII, leading to widespread activation of the coagulation cascade, increased thrombin generation, and fibrin formation. This damages the endothelium and converts it to a procoagulant state.
- Annexin II - Annexin II binds to plasminogen and tissue plasminogen activator, resulting in excessive plasmin generation and primary hyperfibrinolysis.
The net result is a unique coagulopathy, involving both disseminated intravascular coagulation (DIC) and primary hyperfibrinolysis.
This manifests clinically with severe, life-threatening bleeding
Image Source Link (Adapted)
Clinical Presentation
APL does not typically present as a rapidly proliferative acute leukemia. The white blood cell count is often unimpressive, despite the bone marrow being nearly entirely replaced with leukemic cells. Patients frequently present with symptoms related to pancytopenia, including anemia (manifesting as weakness and fatigue) and neutropenia (increased susceptibility to infections), similar to other forms of acute leukemia. However, the hallmark clinical feature of APL is the severe bleeding diathesis, which is far more prominent compared to other acute leukemias. Bleeding is often the presenting symptom and is responsible for much of the early mortality.
Nearly 90% of patients have some form of bleeding, ranging from mild mucocutaneous bleeding (e.g., gingival bleeding, ecchymoses, epistaxis) to catastrophic, life-threatening hemorrhage. Up to 40% of patients develop catastrophic bleeding, most commonly intracranial or pulmonary. While thrombotic complications are less common in APL compared to the bleeding manifestations, they can still occur.

Diagnosis
The definitive diagnosis of APL involves molecular testing to identify the presence of the PML-RARA fusion gene. However, treatment should be initiated as soon as APML is suspected, prior to confirming the diagnosis.
The presentation of APL can be subtle, and proper management of this disease involves maintaining awareness of the key features concerning for this disease. Any patient presenting with pancytopenia, prominent bleeding symptoms, and laboratory evidence of DIC should raise a strong suspicion for APL, especially if there are prominent promyelocytes on the peripheral blood smear (though this may not always be apparent).
In ambiguous cases, clinicians should have a low threshold to discuss the patient with an oncologist, as a delay in treatment can lead to catastrophic outcomes.

Management
Patients with suspected APL should be immediately hospitalized and, if not already at one, transferred to an oncology center with expertise in complex oncologic emergencies and rapid access to genetic testing, blood products, and chemotherapeutic agents. Oncology should be promptly consulted, and, with their confirmation, treatment with all-trans retinoic acid (ATRA) should be started without delay.
ATRA is a critical first-line agent in the management of APL. It induces differentiation of the malignant promyelocytes into mature neutrophils, leading to a rapid improvement in the coagulopathy. The initiation of ATRA (typically at 25-45 mg/m2 divided twice daily) should not be delayed while awaiting confirmatory testing, as it is a relatively safe medication that can be discontinued if the diagnosis is ultimately incorrect
Other second-line agents include arsenic trioxide and various conventional chemotherapeutic agents, which will be determined by the consulting oncology team.
In addition to directly treating the APL, supportive care measures are an essential part of managing these patients and can make a major impact in reducing the risk of early mortality.
- Management of coagulopathy and bleeding
The coagulopathy in APL is unique in that even in the absence of clinical bleeding, preemptive blood product transfusion is recommended. Blood counts and coagulation parameters should be obtained and monitored frequently, and blood products should be given aggressively and without delay.
Thromboelastography, if available, may be preferable to traditional coagulation assays to help tailor the administration of blood products and other interventions more precisely

Given the high incidence of life-threatening intracranial bleeding, it is reasonable to obtain a CT head in all patients for whom APL is suspected.
- Avoid invasive procedures
Invasive procedures such as central venous catheterization, lumbar puncture, and bronchoscopy should be avoided if possible until after treatment and resolution of the coagulopathy due to the high risk of hemorrhagic complications.
Ideally, blood products will be given through large-bore peripheral access and central access, if needed, will be obtained via a PICC line.
- Steroid prophylaxis
Prophylactic steroids are often given to prevent differentiation syndrome (see below) under the guidance of an oncologist. This is a life-threatening complication that can occur with ATRA and arsenic trioxide treatment.
Prednisone 0.5 mg/kg IV daily or Dexamethasone 10 mg IV every 12 hours are typically used for prophylaxis. The steroid dose is then tapered over several days as the risk of differentiation syndrome subsides.
- Manage sepsis risk
Empiric antibiotics can be given, as patients are often neutropenic and at high risk for developing infections. Vigilant monitoring for sepsis and aggressive management of any infections is critical. Broad-spectrum antibiotics covering gram-positive and gram-negative organisms should be initiated promptly for any signs of infection and tailored to local resistance patterns. Common initial antibiotics include vancomycin and cefepime or piperacillin/tazobactam, though this may vary depending on clinical circumstances and institutional antibiograms.
There is no clear evidence supporting the benefit of empiric antifungal therapy; however, it may be initiated in the appropriate clinical context, such as in patients with concerning exam or imaging features, those with shock that persists despite antibiotic therapy, or those who are colonized with a fungus such as candida. Antifungal coverage should target Candida spp., Aspergillus spp., and possibly Mucorales depending on the clinical scenario. In these cases, consultation with infectious disease specialists is strongly recommended.
- Tumor lysis syndrome prophylaxis
Patients are at risk for developing tumor lysis syndrome, particularly those with high white blood cell counts. Prophylactic measures should include hydration, allopurinol or rasburicase, and close monitoring of electrolytes and renal function.
Differentiation Syndrome
Differentiation syndrome is a serious complication that occurs in 25-30% of patients treated with ATRA. This syndrome results from the rapid differentiation of malignant promyelocytes into mature neutrophils, leading to a massive systemic inflammatory response and cytokine storm. Patients with white blood counts (WBC) greater than 10,000 cells/μL at the time of diagnosis appear to be at the highest risk.
Patients commonly present with features of systemic inflammation including fever, respiratory distress, volume overload, and hypotension. It is often accompanied by hyperleukocytosis (WBC > 50,000 - 100,000 cells/μL) and can mimic the presentation of sepsis. The median time of onset is 12 days after starting ATRA treatment, but it can occur at any time from the first day of treatment to weeks later.
Differentiation syndrome accounts for approximately 15% of early deaths in APML, but prompt recognition and aggressive management can significantly improve outcomes.
If differentiation syndrome is suspected, high-dose dexamethasone (10 mg IV twice daily) should be initiated immediately if it has not already been started for prophylaxis. Empiric broad-spectrum antibiotics should also be given, as it can be difficult to distinguish differentiation syndrome from sepsis. Other supportive measures are critical, including careful management of hemodynamics, volume status, oxygenation, and ventilation. With early recognition and treatment, the majority of patients can recover from differentiation syndrome.
Outcomes
Prior to the development of modern treatment approaches, acute promyelocytic leukemia had an extremely poor prognosis, with a median survival of less than one month. However, the introduction of targeted therapies like ATR, as well as improved recognition and management of treatment-related complications, has transformed the outlook for patients with APL.
Today, APL is associated with the highest cure rates among acute myeloid leukemia subtypes. Patients with APL still face a high risk of early mortality, but with prompt recognition of the disease, early initiation of treatment, and aggressive supportive care to manage the unique coagulopathy and other complications, the long-term prognosis for patients with APL is excellent.
Take Home Points
- The unique pattern of APL is characterized by high early mortality but excellent long-term prognosis for those who survive.
- APL often involves severe, life-threatening bleeding that requires pre-emptive blood product transfusions and aggressive management to prevent complications.
- After discussion with an oncologist, initiation of ATRA should be done without awaiting confirmatory testing if suspicion for APL is high.
- Differentiation syndrome is a common complication of ATRA treatment that presents as systemic inflammation that can mimic sepsis and is treated with dexamethasone.
References
- Abedin S, Altman JK. Acute promyelocytic leukemia: Preventing early complications and late toxicities. Hematology Am Soc Hematol Educ Prog. 2016;2016(1):10–15. https://doi.org/10.1182/asheducation-2016.1.10
- Barbui T, Finazzi G, Falanga A. The impact of all-trans-retinoic acid on the coagulopathy of acute promyelocytic leukemia. Blood. 1998. 91(9), 3093–3102.
- Dores GM, Devesa SS, Curtis RE, et al. Acute leukemia incidence and patient survival among children and adults in the United States, 2001-2007. Blood. 2012;119(1), 34–43. https://doi.org/10.1182/blood-2011-04-347872
- Hermsen J, Hambley B. The Coagulopathy of Acute Promyelocytic Leukemia: An Updated Review of Pathophysiology, Risk Stratification, and Clinical Management. Cancers. 2023;15(13), 3477. https://doi.org/10.3390/cancers15133477
- Mantha S, Tallman MS, Soff GA. What’s new in the pathogenesis of the coagulopathy in acute promyelocytic leukemia? Curr Opin Hematol. 2016;23(2):121–126. https://doi.org/10.1097/MOH.0000000000000221
- Menell JS, Cesarman GM, Jacovina AT, et al. Annexin II and bleeding in acute promyelocytic leukemia. New Engl J Med. 1999;340(13):994–1004. https://doi.org/10.1056/NEJM199904013401303
- Sanz MA, Fenaux P, Tallman MS, et al. Management of acute promyelocytic leukemia: Updated recommendations from an expert panel of the European Leukemia Net. Blood. 2019;133(15):1630–43. https://doi.org/10.1182/blood-2019-01-894980


