Cases That Count: Back Pain in the ED – It’s Not Always What You Think
Questions
- What sonopathology is demonstrated in these images/clips?
- What is the utility of Point-of-Care Ultrasound (POCUS) in diagnosing abdominal aortic aneurysm (AAA)?
- What are the diagnostic criteria and management for AAA?
- What are the pitfalls of POCUS for abdominal aorta assessment?
Case Presentation
A 76-year-old male with a past medical history of chronic back pain, diabetes, hyperlipidemia, hypertension, and cigarette smoking presented to the Emergency Department (ED) with worsening low back pain for the past two weeks. The pain was associated with nausea and decreased oral intake for the last several days. The pain was worse with ambulation. He denied fevers, chills, night sweats, weight loss, abdominal pain, vomiting, numbness, tingling, or saddle anesthesia.
On presentation, the patient was awake and in moderate distress. He was noted to have a systolic blood pressure in the 90s. On physical exam, a pulsatile mass was palpated along the epigastric area. The patient was tender in all four quadrants without rebound or guarding.
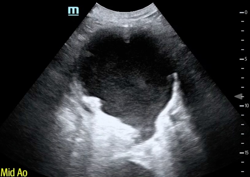
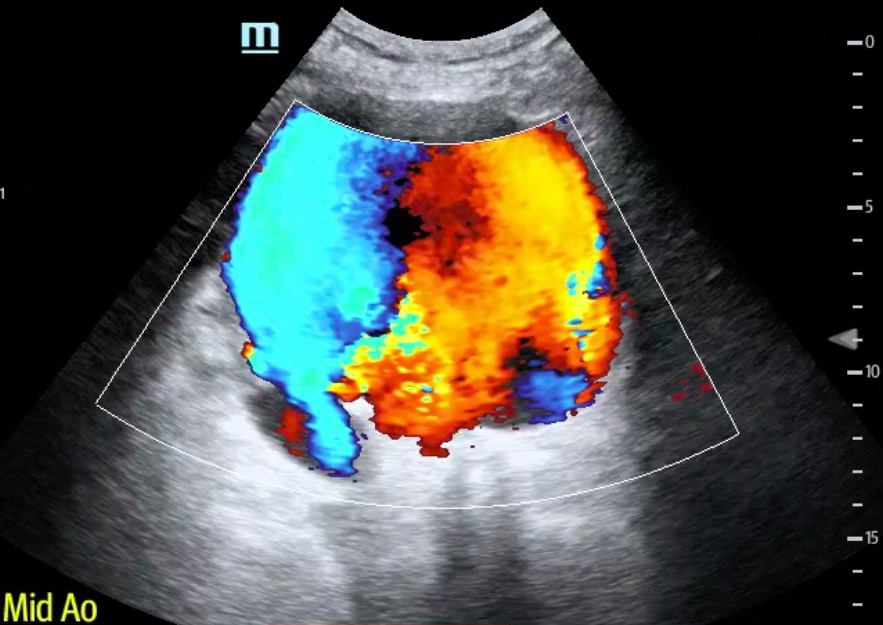
Point-of-care ultrasound (POCUS) performed at the patient’s bedside demonstrated a large, 11 cm, abdominal aortic aneurysm (AAA) with visible echogenic turbulent blood flow (Figure 1, Video 1). With the assistance of Color Doppler, we were able to confirm that the AAA had ruptured with active hemorrhage (Figure 2, Video 2). Volume resuscitation with IV fluids and blood products was initiated, while Vascular Surgery consult was called and arrived at the bedside within 15 minutes. The patient was taken emergently to the OR for successful endovascular aortic repair.

Figure 1. AAA B-mode with turbulent blood flow.

Figure 2. AAA Color Doppler.
Role of POCUS in the Evaluation of AAA
A common chief complaint in the ED is back pain. The differential diagnoses for back pain is broad, ranging from chronic arthritic pain to abdominal aortic aneurysm (AAA) rupture. An ED physician needs to decide if this chief complaint warrants immediate attention to rule out life-threatening causes such as AAA rupture. History and physical exam are inadequate tools to diagnose abdominal aortic aneurysm, as most patients do not present with the classic triad of hypotension, back pain, and a pulsatile abdominal mass. POCUS can be used to both rule in (positive likelihood ratio 10.8-infinity) or rule out (negative likelihood ratio 0-0.025) AAA rupture.1-4 Pitfalls of ultrasound in diagnosing AAA are that the sensitivity and specificity of the modality is dependent on the skill of the operator, a patient’s body habitus or view obstruction by bowel gas, and 5% of AAA are juxta-suprarenal making it difficult to visualize on ultrasound. Pending the ultrasound results, the decision can be made to pursue an emergent CT scan and/or consult vascular surgery.
The American College of Radiology (ACR) appropriateness rating for the use of ultrasound in suspected AAA is 9, suggesting that it is indicated as the first imaging modality to be used because of its favorable risk-benefit ratio.5 AAA is defined as focal dilatation where the vessel diameter is >3 cm or at least 50% larger than the proximal normal segment. Abdominal aortic aneurysm rupture may not always be apparent, but when present is seen as a hypoechoic mixed density surrounding the aorta. Management of AAA is dependent on the size of the aneurysm and the stability of the patient. All unstable patients ultimately need to go to the operating room for rupture repair. If the size of the abdominal aorta is <2.5 cm, no routine follow-up is needed. AAA sizes in between 3 and 5 cm need to be followed through routine imaging surveillance.6-8 If the AAA size >5 cm or if the growth is >0.5 cm/6 months, then the aneurysm must be surgically repaired.
Using POCUS to rapidly diagnose a potentially life-threatening ruptured AAA is an essential skill for ED physicians, as every minute counts in order to optimize time to definitive operative management and reduce morbidity and mortality.
Answers
1. What sonopathology is demonstrated in these clips?
Abdominal Aortic Aneurysm (AAA) Rupture
2. What is the utility of POCUS in diagnosing AAA?
Ultrasound reaches 100% sensitivity and specificity in diagnosing AAA. Physical exam findings such as the classic triad of hypotension, back pain, and pulsatile mass are unreliable as patients often present with non-classical symptoms.
3. What is the diagnostic criteria and management for AAA?
AAA is defined as a dilation of the abdominal aorta measuring >3 cm or >50% larger than its proximal normal segment. Abdominal aortas <2.5 cm do not need routine follow-up, while AAA >5 cm need surgical repair. All interval aneurysm sizes should be followed with interval surveillance imaging at regular intervals.
4. What are the pitfalls for POCUS for AAA?
Ultrasound sensitivity and specificity is reliant on technician skill. The image obtained can be limited by body habitus or bowel gas. Juxta-suprarenal AAA are difficult to visualize on ultrasound.
References
- Boll APM, Severens JL, Verbeek ALM, et al. Mass screening on abdominal aortic aneurysm in men aged 60 to 65 years in the Netherlands. Impact on life expectancy and cost-effectiveness using a Markov model. Eur J Vasc Endovasc Surg. 2003;26:75-80.
- Scott RA, Vardulaki KA, Walker NM, et al. The long-term benefits of a single scan for abdominal aortic aneurysm at age 65. Eur J Vasc Endovasc Surg. 2001;21(6):535-40.
- Fink HA, Lederle FA, Roth CS, et al. The accuracy of physical examination to detect abdominal aortic aneurysm. Arch Intern Med. 2000;160(6):833-6.
- Rubano E, Mehta N, Caputo W, et al. Systematic review: emergency department bedside ultrasonography for diagnosing suspected abdominal aortic aneurysm. Acad Emerg Med. 2013;20:128–38.
- American College of Radiology. Ultrasound Screening for AAA - American College of Radiology. N.p., n.d. Web. 02 Dec. 2018. https://acsearch.acr.org/docs/69414/Narrative/
- Medical Advisory Secretariat. Ultrasound screening for abdominal aortic aneurysm: an evidence-based analysis. Ont Health Technol Assess Ser. 2006;6(2):1-67.
- Wilmink TB, Quick CR, Hubbard CS, et al. The influence of screening on the incidence of ruptured abdominal aortic aneurysms. J Vasc Surg. 1999;30(2):203-8.
- Bird AN, Davis AM. Screening for abdominal aortic aneurysm. JAMA. 2015;313:1156-7.
Bushra Ahmad, MD
Kayla Dewey, MD
Michael Lu, MD, FACEP
Department of Emergency Medicine, University of Rochester Medical Center