March 13, 2025

Lipliner Artifact Review

Robinson M. Ferre, MD, FACEP
Associate Professor of Clinical Emergency Medicine, Indiana University
Disclosures: Fujifilm Sonosite, Butterfly Inc
Lori A. Stolz, MD, FACEP
Professor of Emergency Medicine, University of Cincinnati
Disclosures: consulting for Butterfly, GE/Caption Health, Think Sono, and Philips

In the field of ultrasound, artifacts are the name of the game. A recent publication, “The Lipliner Sign: Potential Cause of a False Positive Focused Assessment with Sonography in Trauma (FAST) Examination” by Parker et.al. highlighted how artifacts can lead to misinterpretation of ultrasound exams. We heard a lot from our community about this “lipliner” artifact and how it has affected practice. Although it is not new, it may be more prominent with newer post-processing algorithms in modern machines and those of us utilizing ultrasound should be aware of this artifact and its implications.

To better understand this artifact and how physicians can compensate for its presence, the ACEP Industry Round Table leaders met with engineers from four of the ultrasound manufacturers in the EM POCUS market to learn more about why this artifact may occur on their machines and which settings can be adjusted to reduce or eliminate its appearance. We hope that their feedback and recommendations can improve our ability to identify, interpret and modify this artifact.

Before we delve into their recommendations, let’s review the applicable ultrasound physics to understand why this artifact is occurring in the first place. Diagnostic ultrasound is possible because sound can propagate through and be reflected by tissues in the human body.  Tissues in the body produce two types of reflectors: 1) specular and 2) diffuse. Specular reflectors, such as the diaphragm, are smooth and have a large acoustic interface. As such, they act like a mirror and reflect sound based on the angle of insonation.

Diffuse reflectors, on the other hand, are much more common and this is how sound is reflected in most human tissues (eg, solid organs, soft tissues, etc.).  Unlike specular reflectors that have a large acoustic interface, diffuse reflectors have acoustic interfaces that are microscopic and are much smaller than the ultrasound wavelength. When ultrasound is applied to diffuse reflectors, echoes from these interfaces are scattered diffusely in all directions. This phenomenon of diffuse reflection is happening on a microscopic level and is also happening across most of the tissue visible on the ultrasound image display. This creates a cacophony of sound signals.

Compounding this phenomenon is another physical property of waves, known as phasicity. When two waves of the same frequency line up, such that their peaks and troughs are the exact same, they are said to be “in-phase.” Two in-phase waves undergo constructive interference where the amplitude of each wave is summed together to create a new wave with increased amplitude. When this wave with increased amplitude is received by the ultrasound machine, it is given a brighter shade of grey and is seen as brighter on the screen.  In contrast, two waves that have their peaks and troughs in exact opposite positions, are known as “out-of-phase.” This results in deconstructive interference where both waves cancel each other out. In this case, no sound signal is received by the machine and appears as anechoic on the screen.

The overall effect of diffuse reflectors causing constructive and deconstructive interference across the entire tissue, gives the ultrasound image a speckled or grainy appearance. See Figure 1. In reality, the tissue is not grainy or speckled at all. Rather the ultrasound machine interprets the tissue as having a grainy texture because of how sound interacts with diffuse reflectors and due to in-phase and out-of-phase waves. This speckling is known as “speckle artifact.” Overall, this is not desirable in an ultrasound image. In particular, this speckle artifact leads to poor demarcation of tissue interfaces and fails to show subtle differences that should be present in adjacent tissues. To reduce speckling, ultrasound manufacturers use a variety of post processing algorithms. These algorithms are proprietary and differ from one manufacturer to the next. Often, a particular post-processing function or feature responsible for reducing speckle is given a name by the manufacturer. Table 1 lists the four vendors we met with and the name of the feature that reduces speckle.

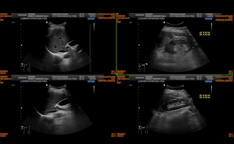
The result of using speckle reduction algorithms leads to ultrasound images appearing “smoother” with better demarcation of tissue borders. However, speckle reduction comes at a price with the introduction of a new artifact: image adaptive artifact. See Figure 2. Image adaptive artifact allows better border demarcation by increasing contrast between adjacent tissues. Image adaptive artifact is what is observed in the case series by Parker et. al. and called the “lipliner sign.” While reducing or turning off the appropriate feature that causes this image adaptive artifact to occur, the trade-off is that images will become very speckled and grainy. In essence, there is a choice to be made between these two different artifacts, the image adaptive artifact (or lipliner artifact) or speckle artifact.

If you encounter image adaptive artifact and are left wondering if the anechoic area at the surface of the liver is free fluid or just a “lipliner sign,” what should you do? Table 2 lists the recommendations we received from each of the 4 vendors we spoke to about this concern. Each of these strategies will reduce the image adaptive artifact but will increase the amount of speckle that is seen throughout the image.

Another strategy may be as simple as moving the probe. Because image adaptive artifact is affected by the angle of insonation, the easiest thing to do is to either rotate the probe and look at the interface in question (such as the hepatorenal interface) in an axial plane, fan the probe back and forth to see if the anechoic area disappears, or rock to change the angle of insonation.

We hope this review of speckle and image adaptive artifact provides important insight into your understanding of ultrasound and the potential impact that speckle reduction has on images. While we only report on devices from the four ultrasound manufacturers noted in the article by Parker et. al., it is likely that image adaptive artifact will be seen when using ultrasound equipment from other manufacturers as well. As an expert in advanced emergency ultrasound, it is important to know and teach others of these artifacts to reduce potential interpretive error.

Vendor

Strategy to Reduce Image Adaptive Artifact

GE

Reduce SRI. If needed, turn SRI off.

Mindray

Reduce iClear setting. If needed, turn iClear off.

Philips (cart-based)

Reduce XRES setting. If needed, turn XRES off.

Philips (Lumify)

XRES cannot be adjusted on Lumify

Fujifilm Sonosite

Increase dynamic range; Change optimization (Res/Gen/Pen)

Table 1. Vendor Proprietary Features to Reduce Speckle Imaging

 

Vendor

Machine feature that reduces speckle

GE

SRI (speckle reduction imaging)

Mindray

iClear

Philips

XRES

Fujifilm Sonosite

Proprietary speckle reduction feature

Table 2. Vendor specific strategies to reduce speckle imaging

 

Lipliner_Fig1.pngFigure 1. Constructive and Deconstructive Interference of Diffuse Reflectors on Ultrasound Images

Lipliner_Fig2.pngFigure 2. Image Adaptive Artifact

Disclaimer: While vendors contributed to recommendations in this article, this article does not represent an official publication of GE Healthcare, Philips, Mindray or FujiFilm SonoSite.

References

  1. Parker MA, Hicks BG, Kaili M, Silver A, Zhu M, Feuerherdt M, et al. (2024). The Lipliner Sign: Potential Cause of a False Positive Focused Assessment with Sonography in Trauma (FAST) Examination. J Emerg Med. 2024;S0736-4679(24)00212-9.
  2. Rumack C, Levine D, (2024). Diagnostic Ultrasound, 6th, Elsevier Inc.
  3. Dilman, N, “Unsharp Masking.” https://en.wikipedia.org/wiki/Edge_enhancement#/media/File:Usm-unsharp-mask.png, Accessed on Nov 15, 2024.
[ Feedback → ]