Ultrasound Anatomy
ACEP's Section of Emergency Ultrasound presents a bank of ultrasound images for you to review.

Cardiac - parasternal short axis - mid (labeled)

Cardiac - long parasternal (unlabeled)

Cardiac - long parasternal (labeled)

Cardiac - long axis parasternal spectral doppler - mitral valve

Cardiac - short axis parasternal - mid (unlabeled)

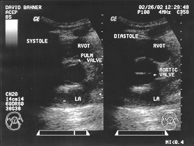
Cardiac cycle - aortic view

Cardiac cycle - short axis (labeled)

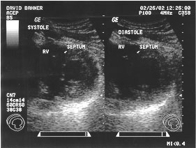
Cardiac cycle - long parasternal view

Procedures: internal jugular vein

Splenorenal (unlabeled)

Splenorenal space (labeled)

Hepatorenal space (labeled)

Cardiac - Subxiphoid view (unlabeled)

Cardiac - Subxiphoid view (labeled)

IVC and hepatic veins - leadin at IVC (labeled)

Artifacts - comet tail

Aorta longitudinal (unlabeled)

Aorta longitudinal (labeled)

Gallbladder (unlabeled)

Gallbladder (labeled)

Aorta - renal (unlabeled)

Aorta - renal (labeled)

Aorta - suprarenal (unlabeled)

Aorta - suprarenal (labeled)