October 4, 2023
Altered Mental Status in an Infant
Rebecca Floyed, MD and Marla Levine, MD
Brief narrative description of case
Include the presenting patient chief complaint and overall learner goals for this case
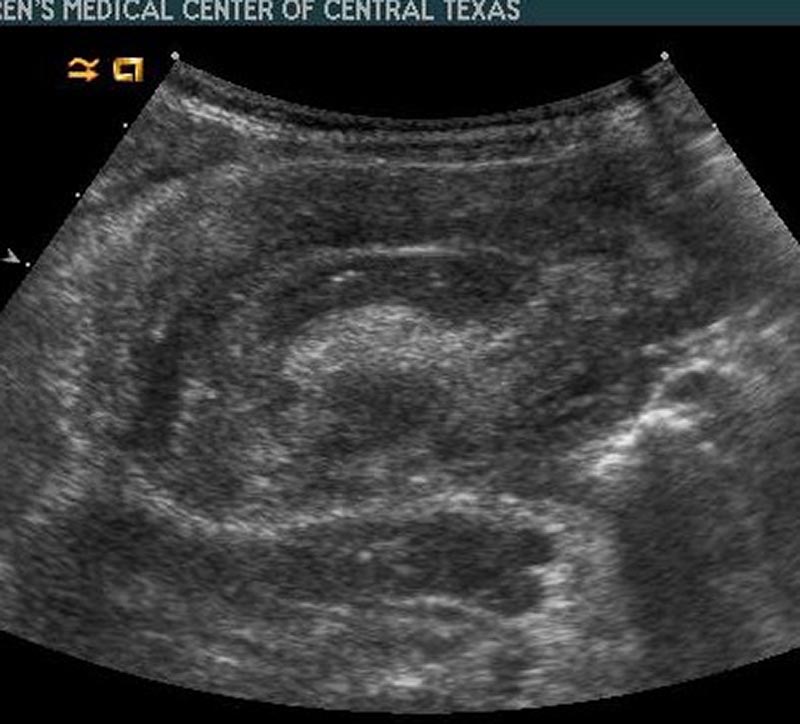
10-month-old male infant presents to the ED by EMS with vomiting and altered mental status (AMS). Infant arrives to the ED awake but poorly interactive. Ultimately, the infant will be diagnosed with intussusception and hypovolemic shock based on the history, physical exam and ultrasound findings. Learners are expected to establish a differential diagnosis of AMS appropriate for an infant, demonstrate appropriate resuscitative interventions, and use appropriate imaging and labs to help identify the cause of AMS.







