Page

FACEP Eligibility and How to Apply

You may be eligible if you Are an ACEP member for 3+ continuous years Are board-certified in EM Show a record of service, leadership, or education in EM Be regular, life, honorary, or international me...

Award for Outstanding Contribution in Research Nomination Form

Award for Outstanding Contribution in EMS Nomination Form

Profile: Joshua Guttman, MD, FACEP, FPD-AEMUS

Submit Your ACEP Education Proposal

Did You Know?

Test

Ultrasound Guided Advanced Cardiovascular Life Support

Musculoskeletal Ultrasound – Overview

The Golden Blade Award

Profile: Robert James Adrian, MD, FPD-AEMUS

Profile: Michael Secko, MD, FACEP, FPD-AEMUS

Profile: Liang Liu, MD, FACEP, FPD-AEMUS

Disaster Medicine Lecture Series

Profile: Jason Nomura, MD, FACEP, FPD-AEMUS

Profile: Josie Acuña, MD, FPD-AEMUS

Profile: Di Coneybeare, MD, MHPE, FPD-AEMUS

Profile: Daniel Kim, MD, FRCPC

Member Interest Group List

2025 Award Recipients

Policy Pioneer Award – Taylor S. Nichols, MD, FACEP

Pamela P. Bensen Trailblazer Award – John F. McMaster, MD, FACEP

Award for Outstanding Contribution in Research – Joseph P. Ornato, MD, FACEP

Colin C. Rorrie, Jr, PhD Award for Excellence in Health Policy – Bing S. Pao, MD, FACEP

Council Curmudgeon Award – David S. McClellan, MD, FACEP

Council Meritorious Service Award – Thom R. Mitchell, MD, FACEP

Council Teamwork Award – Stephen K. Epstein, MD, MPP, FACEP

Emergency Medicine Wellness Center of Excellence Award – Department of Emergency Medicine at the University of Pennsylvania

Honorary Membership Award – Janis Farnholtz Provinse, RN

Innovation & Excellence in Behavioral Health & Addiction Medicine Award – Elizabeth M. McNamara, MD

Innovative Change in Practice Management Award – Benjamin Bassin, MD, FACEP

James D. Mills Outstanding Contribution to Emergency Medicine Award – Marilyn J. Heine, MD, FACEP

John A. Rupke Legacy Award – Stephen H. Anderson, MD, FACEP

Judith E. Tintinalli Award for Outstanding Contribution in Education – Scott D. Weingart, MD, FACEP

Program Reviewers

Award for Outstanding Contribution in EMS – Robert Domeier, MD, FACEP

Public Health Trailblazer Award – Jennifer Avegno, MD

Lou Graff Award for Excellence in Observation Medicine – Christopher Baugh, MD, MBA, FACEP

Leon L. Haley, Jr. Award for Excellence in Diversity, Inclusion, & Health Equity – Lynne D. Richardson, MD, FACEP

Community Emergency Medicine Excellence Award – Derrick Oaxaca, MD

Disaster Medical Sciences Award – John L. Hick, MD, FACEP

Council Horizon Award – Amanda K. Irish, MD, MPH, MS, DTMH

Council Horizon Award – Joshua S. da Silva, DO, FACEP

National Emergency Medicine Excellence in Bedside Teaching Award – Michael Sheeser, MD

National Emergency Medicine Faculty Teaching Award – Christopher Richardson, MD, FACEP

National Emergency Medicine Junior Faculty Teaching Award – Thomas Beardsley, MD

National Emergency Medicine Junior Faculty Teaching Award – Jonathan Clare, MD

National Emergency Medicine Faculty Teaching Award – Lisa McQueen, MD

National Emergency Medicine Excellence in Bedside Teaching Award – Christopher Holthaus, MD

National Emergency Medicine Excellence in Bedside Teaching Award – Salil Bhandari, MD, FACEP

National Emergency Medicine Excellence in Bedside Teaching Award – Troy Foster, MD, FACEP

National Emergency Medicine Faculty Teaching Award – Jonathan Bronner, MD, FACEP

National Emergency Medicine Faculty Teaching Award – Andrew Little, DO, FACEP

National Emergency Medicine Faculty Teaching Award – Mark Riddle, DO, FACEP

National Emergency Medicine Faculty Teaching Award – Robert Jones, DO, FACEP

National Emergency Medicine Faculty Teaching Award – Jailyn Avila, MD

National Emergency Medicine Faculty Teaching Award – Joan Noelker, MD, FACEP

National Emergency Medicine Faculty Teaching Award – Benjamin Sandefur, MD, FACEP

National Emergency Medicine Junior Faculty Teaching Award – Irtaza Asar, DO

National Emergency Medicine Junior Faculty Teaching Award – Christopher Belcher, MD

National Emergency Medicine Junior Faculty Teaching Award – Jessica Baez, DO

National Emergency Medicine Junior Faculty Teaching Award – Elizabeth Yetter, MD

National Emergency Medicine Junior Faculty Teaching Award – Joseph Brown, MD, FACEP

National Emergency Medicine Junior Faculty Teaching Award – Kelly Roszczynialski, MD

2025 Slides

Resident Teaching Fellowship Faculty

HHS Clarifies EMTALA Obligations Related to Pregnancy-Related Emergencies

ACEP Congratulates the 2025 Teaching Award Winners

ACEP engagED General User Playbook

APC Profiles

Membership Dues and Eligibility

EDAc FAQs

Benefits

What is the GED Dashboard?

Join the Geriatric Emergency Department (GED) Dashboard

Richard D. Shih, MD, FACEP

Volunteer Spotlight: Alecia M. Gende, DO, CAQSM, FACEP

Joshua S Broder, MD, FACEP

Diann Krywko, MD, FACEP & Rita A Manfredi-Shutler, MD, FACEP

James Paxton, MD, MBA, FACEP

Volunteering 2025 - Why I Help

Upcoming Events

Point-of-Care Ultrasound in Resource-Limited Settings

Small Parts - Testicular Ultrasound

Focused Assessment with Sonography for HIV-Associated Tuberculosis (FASH)

VisualDx

Residency Programs That Pay for PEER

Pricing

2025 National Outstanding Medical Student Award Winners

Continuing Medical Education

Stopping Insurer Bad Behavior

Career Center

Fighting for Physician-led Care

Career Transition Support

Emergency Reproductive Health

Shaping the Workforce of Tomorrow

Violence in the Emergency Department

ACEP Values

Reimbursement

Opioid Resources

E-QUAL Venous Thromboembolism (VTE) - CME

Federal Advocacy Overview

Violence in the Emergency Department

Introduction to Nerve Blocks

Saphenous Nerve Block

Median Nerve Block

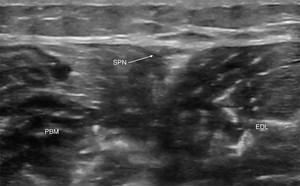
Sural Nerve Block

Ulnar Nerve Block

Supraclavicular Brachial Plexus Block

Tibial Nerve Block

Popliteal Sciatic Nerve Block

Radial Nerve Block

Femoral Nerve Block

Deep Peroneal Nerve Block

Superficial Peroneal Nerve Block

Interscalene Nerve Block

Unionization

Emergency Department Boarding and Crowding

Chapter Events

Residency Programs That Pay Residents’ ACEP Dues

Phase II Daily Schedule

Phase I Daily Schedule

Membership Dues Waivers for Financial Hardship

Things to Do When an Employer Does Not Perform

E-QUAL Venous Thromboembolism (VTE) Toolkits

E-QUAL Venous Thromboembolism (VTE) - Podcasts

Law Enforcement Presence in the Emergency Department: A Toolkit by the State Legislative & Regulatory Committee Developed in Collaboration with the Diversity, Equity, & Inclusion Committee

Strategies to Combat Scope of Practice Expansion by NPPs

2024 Award Recipients

EM Wellness Center of Excellence Award - Department of Emergency Medicine at Weill Cornell Medicine/New York Presbyterian Hospital

Council Teamwork Award - Katherine L. Staats, MD, FACEP

Council Teamwork Award - Alexandra "Niki" Thran, MD, FACEP

Council Horizon Award - Sophia Spadafore, MD

Council Horizon Award - Kelly E. Quinley, MD

Council Curmudgeon Award - Phillip Luke LeBas, MD, FACEP

Disaster Medical Sciences Award - Eric Goralnick, MD, FACEP

Lou Graff Award for Excellence in Observation Medicine - Sharon E. Mace, MD, FAAP, FACEP

Innovation & Excellence in Behavioral Health & Addiction Medicine - Aimee K. Moulin, MD, FACEP

Public Health Trailblazer Award - Richard Rothman, MD, PHD, FACEP

Innovative Change in Practice Management Award - William Francis, MD

Community Emergency Medicine Excellence Award - Amy Davis, MD

Honorary Membership Award - James H. Slaughter, JD

Honorary Membership Award - Rick Murray, EMT-P, FAEMS

Honorary Membership Award - David McKenzie

Policy Pioneer Award - Michelle P. Lin, MD, MPH, FACEP

Council Meritorious Service Award - Thomas J. Sugarman, MD, FACEP

Diane K. Bollman Chapter Advocate Award - Tara Morrison, CAE

Colin C. Rorrie, Jr, PhD Award for Excellence in Health Policy - Brendan G. Carr, MD, MA, MS, FACEP

Award for Outstanding Contribution in EMS - Sabina A. Braithwaite, MD, FACEP

Award for Outstanding Contribution in Research - Robert M. Rodriguez, MD

Judith E. Tintinalli Award for Outstanding Contribution in Education - Susan B. Promes, MD, MBA, FACEP

Pamela P. Bensen Trailblazer Award - Arjun K. Venkatesh, MD, MBA, MHS, FACEP

John A. Rupke Legacy Award - D.W. "Chip" Pettigrew, III, MD, FACEP

James D. Mills Outstanding Contribution to Emergency Medicine Award - Earl J. Reisdorff, MD, FACEP

National Emergency Medicine Excellence in Bedside Teaching Award - Rich Tomasheski, MD

National Emergency Medicine Excellence in Bedside Teaching Award - Nikhil Theyyunni, MD, FACEP

National Emergency Medicine Excellence in Bedside Teaching Award - Robert Stephen, MD

National Emergency Medicine Excellence in Bedside Teaching Award - Weston Ross, DO

National Emergency Medicine Excellence in Bedside Teaching Award - Tsuyoshi Mitarai, MD, FACEP

National Emergency Medicine Excellence in Bedside Teaching Award - Meir Dashevsky, MD, FACEP

National Emergency Medicine Excellence in Bedside Teaching Award - Steven Bin, MD, FACEP

National Emergency Medicine Faculty Teaching Award - George Willis, MD, FACEP

National Emergency Medicine Faculty Teaching Award - Sarah Williams, MD, FACEP

National Emergency Medicine Faculty Teaching Award - Christina Shenvi, MD, PhD, FACEP

National Emergency Medicine Faculty Teaching Award - Laura Oh, MD, FACEP

National Emergency Medicine Faculty Teaching Award - Jacqueline Nemer, MD, FACEP

National Emergency Medicine Faculty Teaching Award - Jason Langenfeld, MD, FACEP

National Emergency Medicine Faculty Teaching Award - Michael Gottlieb, MD, FACEP

National Emergency Medicine Faculty Teaching Award - John Casey, DO, MA, FACEP

National Emergency Medicine Faculty Teaching Award - Nikolai Butki, DO, FACEP

National Emergency Medicine Junior Faculty Teaching Award - Mary McLean, MD, FACEP

National Emergency Medicine Junior Faculty Teaching Award - Pendell Meyers III, MD

National Emergency Medicine Junior Faculty Teaching Award - Ashley Rider, MD

National Emergency Medicine Junior Faculty Teaching Award - Ryan Coughlin, MD

John G. Wiegenstein Leadership Award - Debra G Perina, MD, FACEP

Tax Deductibility of Dues and Contributions

Insurance Coverage Options for Members

New 2024 FACEPs

EMRA App

App Development

Intern Emergency Physicians

Why Create a Pediatric Emergency Department Vaccination Toolkit

Formation of the ACEP Working Group on ED Pediatric Vaccinations

PEM Vaccination Toolkit Introduction

ACEP Congratulates the 2024 Teaching Award Winners

Profile: Sanofi

Profile: Inflammatix, Inc.

Small Group Masterclass Faculty

Team Strategies & Applied Management Faculty

Hyatt Leverage

Speakers

Profile: Jarrett

Profile: Bavolek

Profile: Udrea

Profile: Denley

Profile: McCrea

Hawaii Behavioral Health Dashboard: Defining the Magnitude of the Behavioral Health Problem

Residency Visit Request

CME Application Eligibility

CME Mission Statement