Re-evaluating Red Flags for Back Pain
Matthew Sikina, MD, PGY3, Emergency Medicine Resident, Cooper Medical School of Rowan University
MAJ John Kiel, DO, MPH, Assistant Professor of Emergency Medicine, Assistant Professor of Sports Medicine, University of Florida College of Medicine - Jacksonville
Case Vignette
It’s 8:00 am during a lazy morning ER shift. A patient pops up on the board as you take a sip of your morning coffee. Chief complaint: “lower back pain.” You watch as the patient hobbles into the exam room, assisted by one of the techs. You follow closely behind and get the details:
The patient is a 57-year-old female with a history of long-term tobacco use, hypothyroidism, osteopenia, and remote history of intravenous drug use (IVDU) who is presenting with three days of worsening lower back pain. She states the back pain started after she tripped and fell at work. The pain is worse on movement and does not radiate. She has been taking over-the-counter (OTC) non-steroidal anti-inflammatory drugs (NSAIDs) without significant relief. She denies bowel or bladder dysfunction, or saddle anesthesia. She said the pain has caused her increasing difficulty with walking but denies bilateral lower extremity weakness or numbness. She also denies any infectious symptoms. She notes that she has a remote history of IVDU but has been sober for 20 years. She works as a restaurant manager. She denies any significant surgical or family history.
On exam, you note spinal tenderness over the T12 region without obvious bony defects or step-offs. Motor and sensory exam are five out of five in her bilateral lower extremities, but the pain is exacerbated on movement. Tone and reflexes are normal. She limps when she walks, but her gait otherwise appears unremarkable. Straight leg raise is normal, and she has no abdominal tenderness. The rest of her exam is unremarkable.
“So, what do you think, Doc?”

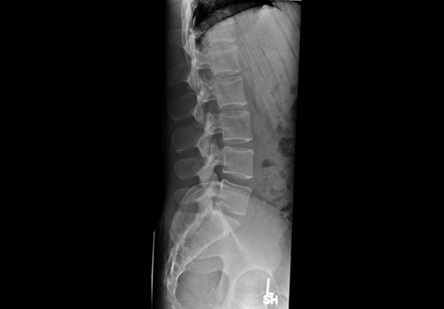
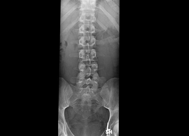
Case courtesy of Dr Hani Makky Al Salam, Radiopaedia.org, rID: 18568
Introduction
Low back pain is a frequently encountered chief complaint of patients presenting to the emergency department.1 Although upwards of 90% of nonspecific causes of back pain self-resolve in four-six weeks, serious pathology exists and can often be missed on initial presentation.2 As such, it is vital that clinicians identify risk factors (red flags) based on a detailed review of systems and a thorough physical exam.
Generally speaking, low back pain can be broken up into three main categories:3
1. Nonspecific/mechanical pain
2. Radicular pain/sciatica
3. Emergent pathologies
Emergent pathologies can be further broken down into:3
1. Fracture/dislocation (traumatic or pathologic)
2. Cord compression (caused by herniation vs tumor/malignancy)
3. Vascular emergency (Abdominal aortic aneurysm [AAA], retroperitoneal bleed, spinal epidural hematoma)
4. Infectious emergency (osteomyelitis, spinal epidural abscess)
It is imperative for the clinician to consider each of these differentials while assessing a patient with low back pain.
Approach to Red Flags for Low Back Pain
When gathering the history from a patient with lower back pain, it is important to note that while positive responses to “red flags” prompt additional investigation, negative responses do not absolutely exclude emergent pathology.4 In one retrospective review, researchers found that upwards of 64% of patients with a spinal malignancy had no associated red flags.4 Inversely, the presence of red flags does not always signify “badness.” According to a review of approximately 1200 patients in primary care clinics in Australia, over 80% had at least one red flag but less than 1% were diagnosed with serious pathologies.5 Consequently, it is critical that the clinician has a low threshold for further workup when the clinical picture may suggest serious pathology. Significant red flags in history include:2,3
1. Age <18 or >502,6
2. Pain not resolved by analgesia
3. History of trauma or recent spinal interventions (surgery, injections)
4. History of coagulopathy or abdominal aortic aneurysm
5. Symptoms or history of malignancy (night sweats, weight loss, etc)
6. History of immunodeficiency (diabetes mellitus [DM], IVDU), recent infection, or fever
7. Cord compression/cauda equina symptoms (bowel/bladder/erectile dysfunction, saddle anesthesia, progressive bilateral leg weakness)
A systematic and thorough physical exam should be performed on every patient with lower back pain. Certain physical exam maneuvers can be helpful when assessing for red flags. Generally speaking, these include:3
1. Observing for signs of infection or IVDU
2. A full neurologic exam of the lower extremities including motor, sensation (including saddle anesthesia), tone, reflexes, and gait disturbances
3. Digital rectal exam (DRE)
4. Bladder ultrasound (US) to assess for post-void residual
5. Percussion of the spinous processes and paraspinal musculature
6. Straight leg raise and slump test can assess for radicular pain
7. Abdominal exam may raise suspicion for abdominal aortic aneurysm
While many clinicians perform a DRE to assess for anal sphincter tone (which may raise suspicion for cauda equina syndrome, if abnormal), recent literature has questioned its clinical utility. One retrospective trial in the UK showed that while bilateral lower extremity pain, sensory loss in a dermatomal distribution, and loss of bilateral lower extremity reflexes correlated with radiographic findings of cauda equina, DRE did not demonstrate a similar correlation.7 Given the invasiveness of the procedure, it is pertinent to consider the risks and benefits prior to performing a DRE on a patient.
Once key portions of the history and physical exam are elucidated, diagnostic evaluation if any, and management strategies differ based on the suspected diagnosis.


Emergent Pathologies for Low Back Pain
Fracture/Dislocation
Fractures can be pathologic or traumatic and should be suspected in patients with focal spinal tenderness, neurological defects, or a history of significant trauma or malignancy. Plain radiographs are warranted if a fracture is suspected. In the setting of trauma or if pathologic fractures are suspected, computed tomography (CT) can be utilized to provide greater detail regarding a ligamentous injury or spinal canal compromise.6 If there are signs of cord compression, an emergent magnetic resonance image (MRI) should be obtained. In addition, pain control should be prioritized to maximize patient comfort.
Cord Compression/Cauda Equina
Cord compression/cauda equina syndrome/conus medullaris syndrome should be suspected in all patients with bowel/bladder/sexual dysfunction, along with saddle anesthesia/hypoesthesia. Urinary retention with a post-void residual of 200cc or greater should further raise suspicion for the diagnosis. In patients with known cancer and new onset back pain, spinal metastases should be considered until proven otherwise.
Upon suspicion of this diagnosis, workup should include erythrocyte sedimentation rate (ESR), c-reactive protein (CRP), and calcium in addition to surgical labs.3 A point-of-care ultrasound or bladder scanner should be utilized to assess for a post-void residual. CT imaging may be useful in ruling out cauda equina syndrome,8 however patients will typically receive an emergent MRI or myelogram if unable to obtain an MRI. It is vital to note that in cases of cord compression, time is of the essence. Steroids (typically dexamethasone 10mg IV) should be administered as soon as spinal metastases are suspected. In cases where cord compression is from another cause, steroids are generally not indicated.3 Bisphosphonates and calcitonin should be considered if the patient has signs of hypercalcemia or bony metastasis is suspected.3 In all cases, pain control should be a priority to maximize patient comfort pending an emergent orthopedics/neurosurgery consult for definitive management.
Vascular Emergency
Vascular emergencies presenting with low back pain can be broken down into three cannot-miss diagnoses:
1. Ruptured AAA
2. Retroperitoneal bleed
3. Spinal epidural hematoma
In the case of a ruptured AAA, patients typically present with abdominal pain, flank pain, or back pain. This diagnosis should be suspected in patients that have a history of hypertension (HTN), vasculopathies, and/or pulsatile abdominal mass on an exam. These patients may present additionally with transient hypotension or syncope and can rapidly progress to shock. A point-of-care ultrasound should be utilized to assess for the diagnosis, and a computed tomography angiography (CTA) should be ordered in stable patients. In unstable patients, resuscitation and emergent vascular surgery consult for definitive management is critical. Mortality is extremely high, so a high index of suspicion should be maintained along with prompt diagnosis and treatment.
Retroperitoneal bleeds should be suspected in patients with lower back pain that have a history of coagulopathy, known retroperitoneal tumors/malignancy, or recent abdominal/pelvic trauma. If the bleed propagates anteriorly or inferiorly, patients may additionally feel pain in the abdomen, hip, groin, or thigh. Exam findings may include the classic Cullen/Turner’s sign or psoas sign. A CT with IV contrast or CTA should be ordered in stable patients to help make the diagnosis. These patients ultimately may require resuscitation and vascular/IR consult for definitive management.
In patients with recent spinal procedures or a history of coagulopathy/anticoagulation, spinal epidural hematomas should be considered in the differential. Although it classically presents in the patient with a recent spinal injection, it can happen spontaneously and in patients with a history of trauma. Typically, these patients will have pinpoint spinal tenderness. Neurologic findings can occur if the hematoma enlarges sufficiently to cause spinal cord compression. In these patients, appropriate lab work to assess for suspected coagulopathies is warranted. An MRI is the best diagnostic modality for evaluation. However, in low-risk patients, a CT may be helpful to make the diagnosis and is the preferred imaging if MRI is not available. Ultimately an orthopedic/neurosurgical consult is necessary for definitive management.
Infectious Emergency
Osteomyelitis and spinal epidural abscesses should be considered in patients with a history of immunocompromise (DM, HIV, etc), IVDU, recent spinal interventions, indwelling catheters, or infections elsewhere. Fever and neurological deficits on exam should raise suspicion for such pathologies. However, it is important to note that fever may only be present in up to 50% of patients and neuro deficits may be subtle.3 In patients with these red flags, blood work including an ESR and CRP are typically included, along with an emergent MRI. In cases with low clinical suspicion, low ESR and CRP levels argue against an MRI; If clinical suspicion is high, MRI is indicated regardless of ESR/CRP values. In patients with a high level of suspicion and neurological deficits, antibiotics with appropriate coverage for methicillin-susceptible (MSSA)/ methicillin-resistant staph (MRSA) should be started while awaiting definitive diagnosis, and an orthopedic/neurosurgical consult should be obtained.
Non-Emergent Pathologies of Low Back Pain
Nonspecific/Mechanical Back Pain
Nonspecific/mechanical back pain otherwise referred to as a lumbosacral sprain, is a diagnosis of exclusion and should only be made after ruling out serious causes of back pain following a thorough history and physical exam. Lumbosacral sprains are typically self-limited, and 90% resolve within four-six weeks. In the acute setting, imaging is rarely indicated. Instead, management should be focused on adequate pain control and reassurance. Agents such as acetaminophen, NSAIDs, topical analgesics, and heating pads can be utilized, and the patient should be instructed to follow up with a primary care provider. Appropriate activity modification should be recommended, as prolonged bed rest may worsen symptoms. In the outpatient setting, other modalities can be prescribed including physical therapy, massage therapy, and mindfulness exercises.9 Prolonged bed rest is not recommended and may worsen symptoms. Opiates are generally not recommended in acute exacerbations.9,10
Radicular Pain/Sciatica
Acute lumbosacral radiculopathy is common and affects approximately 3-5% of adults over their lifetime.11 It is usually caused by a herniated disc with resultant nerve root compression or spondylosis. This can cause pain that classically radiates down the leg, along with sensory deficits and rarely motor deficits depending on the severity of nerve compression. On exam, a positive straight leg raise may raise suspicion for the diagnosis. Management depends on the severity of the disease. In patients with mild disease, imaging in the acute setting is typically not warranted. In patients with severe radiculopathy, an MRI can be useful to identify the underlying pathology and need for surgical intervention. In the outpatient setting, electromyography (EMG) may also be helpful to distinguish specific nerve roots that are affected. The primary treatment for radiculopathy is conservative management with NSAIDs, acetaminophen, heating pads, and activity modification.11 As with nonspecific/mechanical back pain, patients should be instructed to follow up with a primary care provider. Physical therapy is usually recommended if symptoms persist, and epidural steroid injections can be considered in severe, chronic cases. Surgical intervention is typically not warranted, as long-term outcomes have been found to be similar to conservative management.11
Imaging Guidelines
For the vast majority of patients with a chief complaint of back pain, imaging is not typically indicated. However, in patients where you suspect a potential serious pathology, imaging can provide the diagnosis and guide management strategies. In general:
- Plain radiographs: Typically not indicated or necessary in acute mechanical presentations. Can consider if fractures are suspected, minor trauma, or in patients with longstanding back pain.
- CT/CTA: Consider in patients with a history of trauma or vascular lesions. Can be helpful in the evaluation of spinal ligamentous injury and canal compromise in patients with fractures. A CT myelogram can be obtained in patients that are not able to obtain an MRI.
- MRI: Gold standard diagnostic modality in most cases of serious pathology including cord compression, cauda equina/conus medullaris syndrome, spinal epidural hematoma/abscess, and osteomyelitis.
- Point of Care Ultrasound (POCUS): Can be utilized to screen for a post-void residual in patients with suspected cord compression and assess for vascular lesions such as AAA.
Summary
Lower back pain is an increasingly common complaint in patients who present to the primary care office and emergency department. While the vast majority of back pain is nonspecific and self-limiting, serious diagnoses exist that must not be missed. These include traumatic or pathologic fractures/dislocations, cord compression/cauda equina, vascular emergencies, and infectious emergencies. Elucidating red flags through a detailed history and thorough physical examination is crucial to help make the diagnosis and guide proper workup and management.
Vignette Summary
Given the patient’s history of a fall along with spinal tenderness, you order an x-ray that shows an acute T12 compression fracture. Subsequent CT imaging shows an absence of ligamentous injury or cord involvement. Pain control is achieved using IM ketorolac, a lidocaine patch, and calcitonin nasal spray. Spine surgery is consulted and recommends non-operative management. The patient is instructed to follow up with her primary care physician and spine surgeon and endorses understanding.
References
- G. Galliker, D.E. Scherer, M.A. Trippolini, et al., Low Back Pain in the Emergency Department: Prevalence of Serious Spinal Pathologies and Diagnostic Accuracy of Red Flags – A Systematic Review, The American Journal of Medicine, https://doi.org/10.1016/j.amjmed.2019.06.005
- DePalma, Michael G. MHS, PA-C, DFAAPA. Red flags of low back pain. JAAPA: August 2020 - Volume 33 - Issue 8 - p 8-11
doi: 10.1097/01.JAA.0000684112.91641.4c - Himmel, W, Steinhart, B, Helman, A. Low Back Pain Emergencies. Emergency Medicine Cases. September, 2012. https://emergencymedicinecases.com/episode-26-low-back-pain-emergencies/.
- Premkumar A, Godfrey W, Gottschalk MB, Boden SD. Red Flags for Low Back Pain Are Not Always Really Red: A Prospective Evaluation of the Clinical Utility of Commonly Used Screening Questions for Low Back Pain. J Bone Joint Surg Am. 2018 Mar 7;100(5):368-374. doi: 10.2106/JBJS.17.00134. PMID: 29509613.
- Henschke N, Maher CG, Refshauge KM, Herbert RD, Cumming RG, Bleasel J, York J, Das A, McAuley JH. Prevalence of and screening for serious spinal pathology in patients presenting to primary care settings with acute low back pain. Arthritis Rheum. 2009 Oct;60(10):3072-80. doi: 10.1002/art.24853. PMID: 19790051.
- David Della-Giustina, Evaluation and Treatment of Acute Back Pain in the Emergency Department, Emergency Medicine Clinics of North America, Volume 33, Issue 2, 2015, Pages 311-326, ISSN 0733-8627,
ISBN 9780323375948, https://doi.org/10.1016/j.emc.2014.12.005.
https://www.sciencedirect.com/science/article/pii/S0733862714001308 Keywords: Back pain; Epidural compression; Epidural abscess; Herniated disc; Vertebral osteomyelitis - Angus M, Curtis-Lopez CM, Carrasco R, Currie V, Siddique I, Horner DE. Determination of potential risk characteristics for cauda equina compression in emergency department patients presenting with atraumatic back pain: a 4-year retrospective cohort analysis within a tertiary referral neurosciences centre. Emerg Med J. 2021 Oct 12:emermed-2020-210540. doi: 10.1136/emermed-2020-210540. Epub ahead of print. PMID: 34642235.
- Peacock JG, Timpone VM. Doing More with Less: Diagnostic Accuracy of CT in Suspected Cauda Equina Syndrome. AJNR Am J Neuroradiol. 2017 Feb;38(2):391-397. doi: 10.3174/ajnr.A4974. Epub 2016 Oct 27. PMID: 27789449; PMCID: PMC7963836.
- Qaseem A, Wilt TJ, McLean RM, Forciea MA; Clinical Guidelines Committee of the American College of Physicians, Denberg TD, Barry MJ, Boyd C, Chow RD, Fitterman N, Harris RP, Humphrey LL, Vijan S. Noninvasive Treatments for Acute, Subacute, and Chronic Low Back Pain: A Clinical Practice Guideline From the American College of Physicians. Ann Intern Med. 2017 Apr 4;166(7):514-530. doi: 10.7326/M16-2367. Epub 2017 Feb 14. PMID: 28192789.
- http://back.cochrane.org/our-reviews/
- Dydyk AM, Khan MZ, Singh P. Radicular Back Pain. [Updated 2021 Nov 2]. In: StatPearls [Internet]. Treasure Island (FL): StatPearls Publishing; 2022 Jan-. Available from: https://www.ncbi.nlm.nih.gov/books/NBK546593/