January 31, 2022
•
Emergency Ultrasound Section
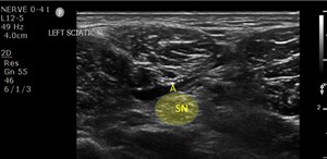
Popliteal Sciatic Nerve Block
A 55-year-old helmeted male with a past medical history of hypertension, hyperlipidemia, and hypothyroidism, presented with left ankle pain and left leg pain after hitting black ice and falling while ...