September 20, 2024
TEE Cardiac Arrest: Aortic Dissection
Author: Michael R. Jones
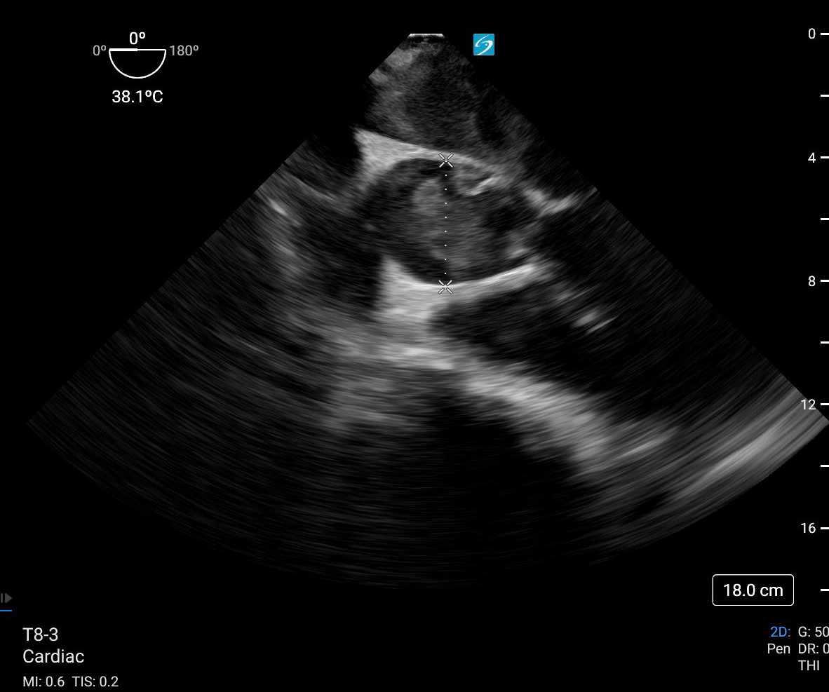
Brief narrative description of case
67 year old male presenting for right arm weakness and chest pain. The patient will become unstable, unconscious, and require intubation. The learner will need to identify the cause and make the appropriate management decisions.
