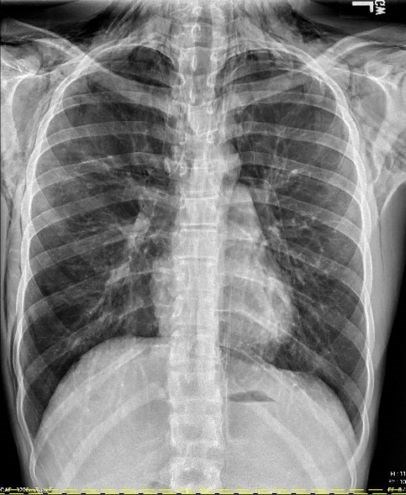
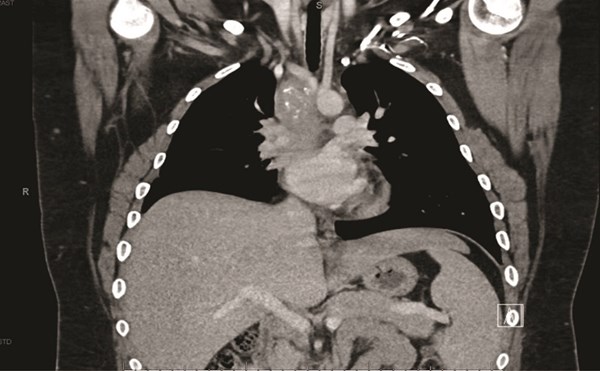
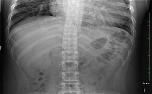
EMage Winners
If you have a cool case with great images, consider submitting your article to our annual Pediatric EM Section EMage Competition. The deadline for the EMage photo contest is May 15, 2025, to allow winners more time to make travel arrangements for presentation of their case at the Pediatric EM Section meeting in September at ACEP25.
Winners will also receive an ACEP voucher, which can be spent on ACEP products (books, meetings, etc.). First place will receive a $500 ACEP voucher; second place will receive a $250 ACEP voucher; third place will receive a $125 ACEP voucher.
