2021 3rd Place Emage Winner: Painful Legs
Case Presentation
A 17-year-old female with no past medical history presented to the emergency department for 3 weeks of claudication. A week prior to her symptom onset, patient describes a brief illness that included abdominal pain, nausea, vomiting, fever, headaches, and fatigue. She was seen at an urgent care at the time and prescribed a Zpack. She was told her blood pressure was abnormally high, but could not recall the numbers, and the doctor advised it was likely anxiety. A few days after, she was feeling better, but began to have pain in her legs when walking. She did not have any pain at rest. She reports the pain in her legs worsened over the next few weeks, where she became unable to walk across a room without severe pain in her lower legs. The pain started in her calves and extended up to her thighs and even up to her abdomen. She described numbness and tingling in her lower extremities as well, and that her legs felt “cooler” to her. She denied any known trauma to her legs or back.
Patient was seen at her primary care office who advised she present to the ER for an elevated blood pressure of 180/100. Upon arrival to the ER, her blood pressure was re-checked 3 times, revealing pressures of 195/99, 199/95, and 222/100. She then had blood pressure taken in all 4 extremities, which revealed a right arm pressure of 191/101 and a left arm pressure of 189/95. However her right leg pressure was 139/70 and left leg pressure was 131/90, significantly lower. Her physical exam was notable for bounding radial pulses (2+), yet very faint, barely palpable dorsalis pedis pulses.
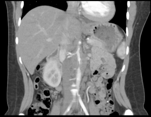
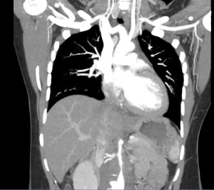
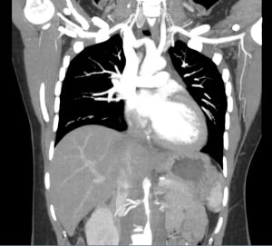
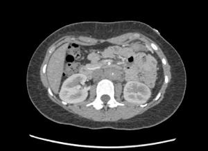
Patient underwent CT angiogram of her chest and abdomen emergently and the findings were suspicious for “periaortitis in association with midaortic syndrome with severe stenosis/near occlusion of the infrarenal aorta, bilateral renal arteries, celiac trunk, and SMA.” Findings that could represent a vasculitis versus neoplastic process.
The patient was placed on a Cardene drip and admitted to the PICU. She was consulted to multiple services including vascular, pediatric surgery, rheumatology, nephrology, cardiology, and hematology/oncology. She was eventually diagnosed with Takayasu Arteritis and patient was started on steroids, hydroxychloroquine, and methotrexate. She was also started on antihypertensives. Patient was discharged after a week long stay in the hospital.

Aorta computed tomography

Aorta narrowing on CT

Narrowing of aorta recon

Occluded aorta

Thickened aorta on CT
Hannah Mezan, MD
LSU New Orleans Emergency Medicine
