Basic

Basic Main Header-800x495.jpg

Basic Sonography

Ultrasound can enhance the diagnosis of organ injury, viable tumor, and vascular pathologies at bedside.

Additional content is being developed, so check back often for updates

Musculoskeletal Ultrasound – Overview

Physics and Technical Facts for the Beginner

Abdominal Aortic Aneurysm (AAA)

Cardiac

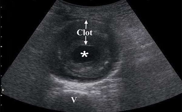
Deep Vein Thrombosis (DVT)

Early Pregnancy

E-FAST (Extended Focused Assessment with Sonography in Trauma)

Gallbladder

Lung

Renal

Soft Tissue Ultrasound